Ακολουθήστε το topontiki.gr στο Google News και μάθετε πρώτοι όλες τις ειδήσεις.
Δείτε όλες τις τελευταίες Ειδήσεις από την Ελλάδα και τον Κόσμο, τη στιγμή που συμβαίνουν.
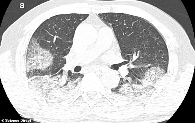
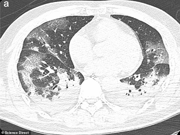
Οι ακτινογραφίες είναι από τον πνεύμονα ενός 60χρονου Κινέζου που βρέθηκε στην Ιταλία.

Στην πρώτη φωτογραφία φαίνεται ο πνεύμονας του την πρώτη μέρα που νόσησε ενώ στη δεύτερη φαίνεται όταν πλέον η κατάσταση έχει προχωρήσει.


Το ίδιο συμβαίνει και στη μαγνητική τομογραφία στους πνεύμονες όπου στη μια είναι καθαροί και στην άλλη έχουν γεμίσει πυον, νερό ή αίμα.

Τη δεύτερη σάρωση οι μαλακοί ιστοί των πνευμόνων φαίνονται εξαιρετικά διογκωμένοι.
Ακολουθήστε το topontiki.gr στο Google News και μάθετε πρώτοι όλες τις ειδήσεις.
Δείτε όλες τις τελευταίες Ειδήσεις από την Ελλάδα και τον Κόσμο, τη στιγμή που συμβαίνουν.
Το topontiki.gr σέβεται όλες τις απόψεις, αλλά διατηρεί το δικαίωμά του να μην αναρτά υβριστικά σχόλια και διαφημίσεις. Οι χρήστες που παραβιάζουν τους κανόνες συμπεριφοράς θα αποκλείονται. Τα σχόλια απηχούν αποκλειστικά τις απόψεις των αναγνωστών.