Ακολουθήστε το topontiki.gr στο Google News και μάθετε πρώτοι όλες τις ειδήσεις.
Δείτε όλες τις τελευταίες Ειδήσεις από την Ελλάδα και τον Κόσμο, τη στιγμή που συμβαίνουν.
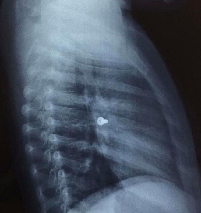
Στο χειρουργείο οδηγήθηκε ένα 3χρονο κορτισάκι στην Κρήτη, το οποιο κατάπιε μία ολοκληρη βίδα. Οι γιατροί κατάφεραν να την αφαιρέσουν μετά από πολύωρη επέμβαση.
Απίστευτες μοιάζουν οι εικόνες από τις ακτινογραφίες ενός 3χρονου κοριτσιού από την Κρήτη που κατάπιε βίδα, η οποία κατέληξε στον αριστερό του πνεύμονα.
Σύμφωνα με τα όσα έκανε γνωστά ο αναπληρωτής καθηγητής ΩΡΛ της Ιατρικής Σχολής Κρήτης, Μανώλης Προκοπάκης, το συμβάν έγινε την Τρίτη. Το άτυχο 3χρονο κορίτσι μεταφέρθηκε άμεσα σε νοσοκομείο του Ηρακλείου. Αμέσως έγιναν οι απαραίτητες ακτινογραφίες που έδειξαν πως η βίδα βρισκόταν στον αριστερό πνεύμονα του παιδιού.
Όπως γράφει το cretapost, οι γιατροί οδήγησαν το κορίτσι στο χειρουργείο και μετά από αρκετή ώρα κατάφεραν να αφαιρέσουν την βίδα.

Ο καθηγητής κ. Προκοπάκης σε ανάρτησή του στα στο Facebook ανέφερε: “Πολύ επείγον χειρουργείο! Πριν από λίγο. Αφαίρεση βίδας από αριστερό βρογχικό δέντρο τρίχρονου κοριτσιού. Πολύ επικίνδυνο…”.
Ακολουθήστε το topontiki.gr στο Google News και μάθετε πρώτοι όλες τις ειδήσεις.
Δείτε όλες τις τελευταίες Ειδήσεις από την Ελλάδα και τον Κόσμο, τη στιγμή που συμβαίνουν.
Το topontiki.gr σέβεται όλες τις απόψεις, αλλά διατηρεί το δικαίωμά του να μην αναρτά υβριστικά σχόλια και διαφημίσεις. Οι χρήστες που παραβιάζουν τους κανόνες συμπεριφοράς θα αποκλείονται. Τα σχόλια απηχούν αποκλειστικά τις απόψεις των αναγνωστών.